去医院拍X光片,很多人都有过这样的疑惑:明明受伤的是手腕,医生却让转过来、侧过去,拍好几张。难道不能对着痛的地方,“咔嚓”一张就完事吗?
这还真不能。原因很简单:我们要用一张平面的片子,看清楚您立体的身体。
一、躲开“叠罗汉”,让伤情现形
X光像是把一个人压扁了看的“影子图”。如果只从一个方向拍,前后的骨头、组织就会像叠罗汉一样摞在一起,把关键的损伤挡住。
最典型的例子就是手腕舟状骨骨折。如果只拍正面,骨折缝很容易被周围骨头挡得严严实实。这时候,就需要让手腕倾斜到一个特殊角度(医学上称为“舟骨位”)再拍一张,骨折线才能清晰显现出来。少拍这一张,很可能就会漏诊。
二、看清“错位”与“对位”,判断伤得多重
发现骨折只是第一步,医生还必须知道:骨头断端朝哪个方向错开了?错开多远?关节有没有脱位?
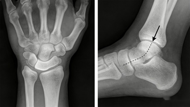
比如常见的脚踝扭伤,只拍正面片,可能看不出骨头有没有前后方向的移位。而加拍一张侧面片,就能立刻判断关节是否对齐、骨折块有没有翘起来。这对于决定是打石膏固定还是需要手术复位,至关重要。
三、规范操作,让诊断有据可依
医学影像拍摄有一套国际通用的标准姿势(如正位、侧位、斜位)。这就像一种“通用语言”,确保不同医院、不同医生看到的影像都具有可比性,能做出同样准确的判断。规范操作,既是对您负责,也让诊断结论更可靠。
简单来说:就像我们看一座雕塑,只看正面无法想象它的全貌,需要绕到侧面、后面看一看,才能在脑子里拼出完整的立体形象。拍X光片也是这个道理——多角度拍摄,是为了在平面上,最大限度地还原您身体内部的真实三维结构。
所以,下次拍片时,请您耐心配合技师的指导。他们细致地为您调整姿势,不是为了“多拍几张”,而是为了拍清楚、看明白,不放过任何细微的损伤,为您的准确诊断和治疗保驾护航。
图示说明:

(配图1:手腕骨骼重叠示意图)
左图:只拍正位时,腕骨重叠,疑似骨折线被遮挡。
右图:加拍特殊角度后,骨折线(箭头处)清晰可见。

(配图2:脚踝正侧位对比图)
上图:正位片显示骨折(圈出)。
下图:侧位片清晰显示骨折块前后移位(箭头),这是决定治疗方案的关键。

(配图3:物体多角度观察类比图)
左图:只从正面看一个茶杯,看不到把手。
右图:转动角度后,茶杯的完整结构(包括把手)一目了然。
协和江南医院公众号
健康管理中心公众号
就医咨询:027-87959179(发热门诊24小时咨询电话)
027-87958740(一站式服务)
行政咨询:027-87959138(院办)
投诉电话:027-87958689(监察科)
行政值班:027-87953249(非正常工作时段)
体检中心:027-87959103
武汉市江夏区纸坊文化大道1号