
上面这场对话就是在向我们讲述着脂肪肝的故事。
一、什么是脂肪肝呢?
脂肪肝是脂肪性肝病(Fatty liver disease, FLD)的简称,是一组多因素复杂作用的异质性疾病。按照发病原因可分为:酒精性脂肪肝病(Alcoholic fatty liver disease, AFLD)和代谢相关脂肪性肝病(Metabolic dysfunction-associated fatty liver disease, MAFLD)。

二、为什么肝脏会“油腻”?
吃出来的油腻:长期高热量饮食,特别是高脂、高糖食物,让肝脏处理不过来。
喝出来的油腻:酒精直接在肝脏代谢,其产物会促进脂肪合成。
懒出来的油腻:缺乏运动,能量消耗不足,多余热量转化为脂肪储存在肝脏。
胖出来的油腻:肥胖人群几乎都伴有不同程度的脂肪肝。
饿出来的油腻:过度节食导致营养不良,肝脏无法正常合成载脂蛋白,脂肪运不出去。

三、怎么诊断脂肪肝呢?
诊断脂肪肝,就像一次缜密的“健康侦探”工作,医生会分三步进行:
第一步:问询与排查。详细了解你的生活习惯,比如是否爱喝酒、饮食是否油腻、运动多少,结合体格检查,圈定出需要重点关注的高危人群。
第二步:无创初筛与评估。对于高危人群,抽血查肝功能加上肝脏B超是常规组合拳。
第三步:终极判官。如果情况复杂,需要最准确的诊断和分期,就要请出“终极大法”——肝穿刺活检。这是诊断的金标准,能给出最权威的结论。
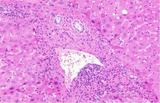
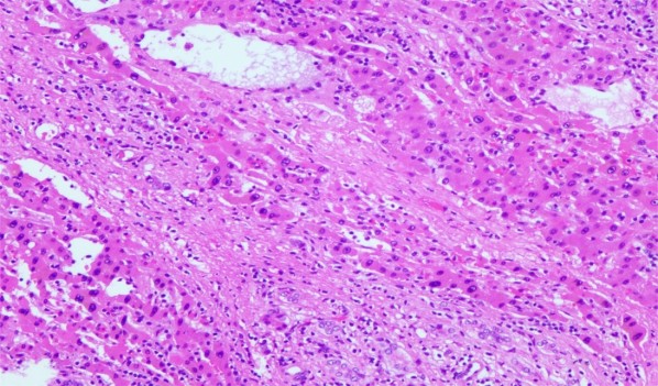
脂肪肝的病理学微观世界
简而言之,在显微镜下,脂肪肝的主要组织学表现包括:
肝细胞脂肪变性、气球变性、小叶炎症和纤维化。此外,还可能出现其他病理学表现(如Mallory小体、巨大线粒体、糖原核、轻度的铁沉积以及局部的糖原贮积)。

(脂肪变性:肝细胞胞浆内出现大小不等的脂肪空泡,起初为微小滴,逐渐融合成大滴,将细胞核推向一边,酷似脂肪细胞)

(气球样变:肝细胞体积明显肿大,形状由多角形肿胀为圆球形,胞质几乎完全透明,可有或无脂肪滴和Mallory小体,核增大也很常见。)

(汇管区炎症:汇管区内有淋巴细胞及浆细胞浸润,通常库普弗细胞(肝内的巨噬细胞)也会增加。)

(纤维化:肝细胞周围出现胶原纤维沉积,逐渐发展为肝纤维化;晚期脂肪肝可发展为肝硬化,表现为肝小叶结构破坏、假小叶形成。)
四、如何让肝脏“去油腻”?

饮食调整:
推荐:蔬菜、水果、全谷物、优质蛋白
限制:油炸食品、含糖饮料、精制碳水
戒除:酒精
运动处方:
每周至少2小时中等强度运动
有氧运动与力量训练结合
定期监测:
每6-12个月检查肝功能、肝脏B超
高危人群需要更密切的随访
记住!你的肝脏,值得更清爽地对待。
协和江南医院公众号
健康管理中心公众号
就医咨询:027-87959179(发热门诊24小时咨询电话)
027-87958740(一站式服务)
行政咨询:027-87959138(院办)
投诉电话:027-87958689(监察科)
行政值班:027-87953249(非正常工作时段)
体检中心:027-87959103
武汉市江夏区纸坊文化大道1号